Direkt zum Seiteninhalt

ABOUT - Kryomedic

Menü überspringen
Title
Menü überspringen

Mein Name ist Agnieszka Wolf. Ich bin promovierte Internistin und beschäftige mich täglich intensiv mit Adipositas und ihren Folgeerkrankungen.
Alle kennen sie: Abnutzung von Knochen und Gelenken, Belastung arterieller und venöser Gefäße. Übergewicht belastet Herz, Lunge, Nieren, Leber. Vor allem überschüssiges Fettgewebe stellt hier ein Problem dar.
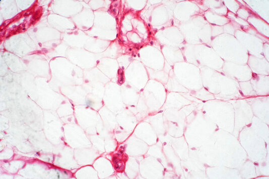
Unter dem Mikroskop sieht Fettgewebe ein bisschen wie Bienenwaben aus: viele Vakuolen unterschiedlicher Größe unterteilt durch Zellmembranen sowie Zellkerne und winzige andere Zellorganellen, die an die Wand der Adipozyten gepresst werden.  
Man fragt sich: kann man diese Vakuolen nicht einfach wegsaugen, wegätzen, wegpunktieren? Könnten sie nicht durch Nadelstiche "Plopp" zum Platzen gebracht werden und wie Seifenblasen verschwinden?


Sehen wir es jedoch von einer anderen Seite: Diese Zellen, die wertvolle Energiereserven in Form von Fettsäuren enthalten, haben wir mit unglaublicher Ausdauer gezüchtet. Bis zu einem bestimmten Punkt hat uns das auch nichts ausgemacht. Eine kleine Fettreserve ist für jeden Körper gut: Für den Notfall, die Hungersnot. Wie häufig aber spürten wir die unangenehmen Seiten der Züchtung: verschiedene Entzündungen, Bluthochdruck, Verdauungsprobleme, Atembeschwerden, Schweißausbrüche, Stimmungsschwankungen, Gelenkschmerzen. Trotzdem haben wir die Fettzellen akribisch weiter gezüchtet - als wären sie kleine Schätze, die wir eines Tagen in eine Million Euro eintauschen könnten. Und warum? Weil unser Stoffwechsel so gemacht ist. Unser Körper spart für den Notfall und unser Gehirn macht da mit.
Fettleibigkeit ist eine stigmatisierte und "verpönte" Erkrankung, nach dem Motto: man habe sich nicht im Griff.
Das stimmt jedoch nicht oder zumindest nicht ganz.
Genetisch  ist jedem eine bestimmte Art der Verstoffwechslung der Nahrung von  Natur aus mitgegeben. Diese können wir nicht ändern.
Manche  Menschen sind Meister in "Lipogenese", d.h. sie bilden bei jeder  Mahlzeit so viele Fettreserven wie möglich, quasi "für den Notfall", für  die nächste Hungersnot.
Irgendwann sind wir an einem Punkt, an dem uns das Fettgewebe bei jedem Schritt belastet. Jeden Tag schauen wir die Fettpolster an und wollen sie loswerden. Eins ist klar: Nichts will sich gern wieder wegzüchten lassen. Der Körper hat nicht dafür aufopfernd Reserven gehortet, um sie jetzt mir nichts dir nichts wegzugeben, weil es uns so passt.
Wir haben aber inzwischen genug Wissen über den Körper, um eine geeignete Methoden für sich zu wählen, quasi ein paar Tricks anzuwenden, um doch Fettgewebe zu verbrennen. Verabschieden wir uns jetzt von ein paar von den weißen Adipozyten, die wir über viele Jahre so tüchtig gefüttert haben.


Gezielt eingesetzte Impulse, die die Lipolyse fördern, führen langfristig zum Gewichtsverlust. Man wundert sich oft, wie einfach es ist, Pfunde zu verlieren. Bereits durch kleine Dinge kann ordentlich Fettgewebe reduziert werden. In einer Welt, in der wir alles per Klick vom Sofa aus erledigen und in der Homeoffice herrscht, braucht es kluger Strategien der Kalorienverbrennung.

to be continued...
Aus: Adobe Stock. Lizenz für diese Homepage vorhanden. Wiederverwendung ohne Lizenz untersagt.
Kryomedic
KRYOMEDIC - Moltkestr 27
74072 Heilbronn
Wir freuen uns auf Ihre Nachricht!
Wir freuen uns auf Ihre Nachricht!
Zurück zum Seiteninhalt